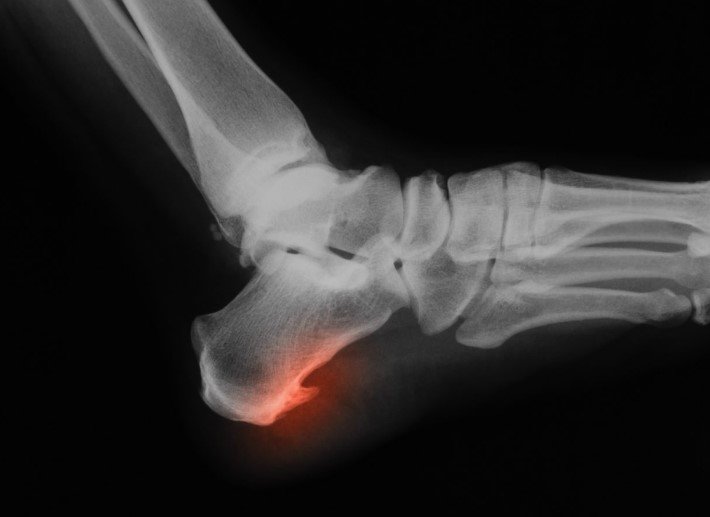
Неудобная обувь и постоянные нагрузки могут привести к болям в ногах. Обычно неприятные ощущения пропадают после отдыха. Если они сохраняются, сосредоточившись в ступнях, человек, скорее всего, страдает от пяточной шпоры или плантанного фасциита. Клиновидное костное образование при ходьбе давит на мягкие ткани, вызывая воспаление и боли.
Пяточная шпора – распространенная патология у людей старше 40 лет. У женщин костные наросты появляются чаще, чем у мужчин. По тяжести симптомы пяточной шпоры варьируются от легких, когда боль возникает только в начале ходьбы, до критических. В последнем случае человеку могут понадобиться костыли для ходьбы. Кроме пола и возраста, развитию патологии способствуют:
- ожирение;
- диабет;
- постоянная нагрузка на ноги;
- хронические воспалительные процессы в организме.
Болезнь редко сопровождается внешними проявлениями. Пятка при шпоре может выглядеть нормально. Патологию травматологи-ортопеды диагностируют по результатам опроса пациента и рентгену. Если снимок не дает ясной картины, дополнительно могут назначить УЗИ и анализы крови. С их помощью исключают другие патологии, вроде ревматоидного артрита.
В тяжелых случаях пяточную шпору удаляют хирургически. К операции прибегают, если нарост вызывает сильные боли, приводит к потере трудоспособности. В остальных случаях медики обычно борются с симптомами. Улучшить состояние пациента помогает диета. Из рациона (особенно – в период приступов) исключают:
- алкоголь;
- копченые продукты;
- бобовые;
- морепродукты;
- жирные сыры, брынзу.
Для облегчения боли врач назначает нестероидные анальгетики и противовоспалительные средства. В пятку могут колоть дипроспан, другие препараты. Решение об уколах принимает врач. Пациент может самостоятельно снимать приступы наружными средствами, вроде мази или геля. Также существуют различные народные методы борьбы с пяточной шпорой. К ноге рекомендуют прикладывать компрессы из:
- картофеля;
- листьев лопуха;
- смеси чеснока и лука;
- йода, меда и соли.
Дополнительно назначается физиотерапия. На больную зону воздействуют электрофорезом, лазерами низкой интенсивности, ультразвуком. Аппараты помогают ослабить воспаление, раздробить кальциевые образования. Своевременное лечение и изменение образа жизни позволит полностью или в значительной степени избавиться от симптомов пяточной шпоры. Если с болезнью не бороться, то легкие боли могут усилиться и стать постоянными.






